cncpt-artikel_lb_atf
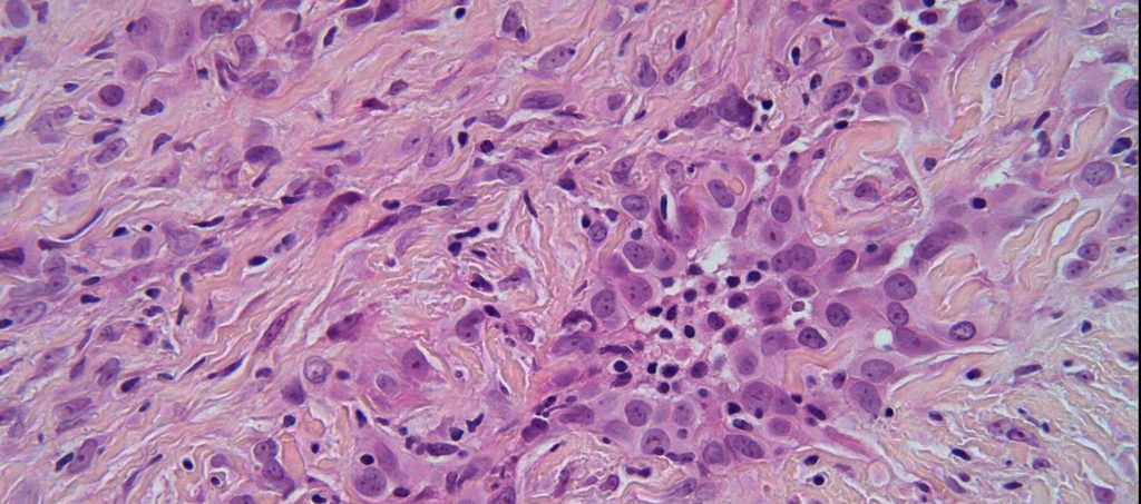
Patients with malignant pleural mesothelioma continue to benefit from immunotherapy combination
CheckMate 743 study confirms that combination treatment with nivolumab and ipilimumab prolongs overall survival in patients with unresectable malignant pleural mesothelioma
Få tilgang
Hvis du er lege, sykepleier eller annen helsepersonell, kan du få tilgang til hele artikkelen ved å opprette en profil på BestPractice Nordic.
- Få tilgang
- Hvis du allerede har en profil: Logg in





