Skip to Content
cncpt-artikel_lb_atf

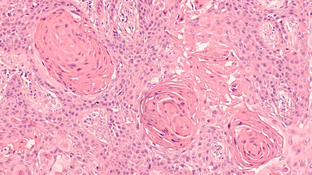
Will atezolizumab be a new standard for adjuvant treatment of NSCLC patients?

Statistically significant improvement in disease-free survival demonstrated in IMpower010. It is suggested that atezolizumab may become new standard for adjuvant treatment of stadium IB – IIIA NSCLC patients with PD-L1 ≥1%. The question is whether disease-free survival is enough to change clinical practice.

Lung Cancer

Få tilgang

Hvis du er lege, sykepleier eller annen helsepersonell, kan du få tilgang til hele artikkelen ved å opprette en profil på BestPractice Nordic.

Back to top